Cosmetic Dental Fillings
- 30 Years of Experience
- Emergency Appointments Available
- 30 Years of Experience
- Emergency Appointments Available
Receive the Smile You Want and Deserve
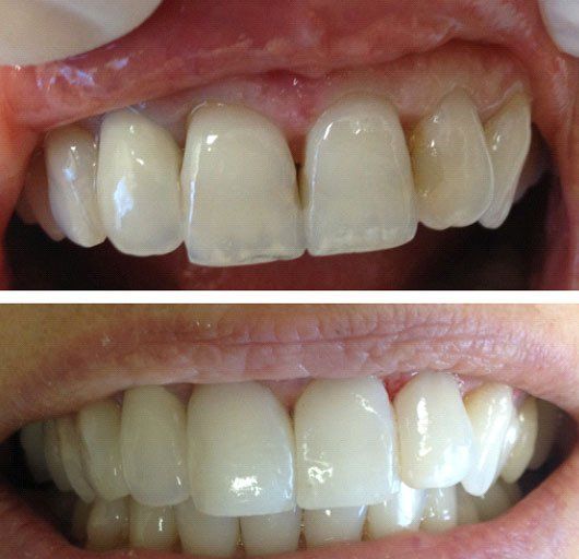
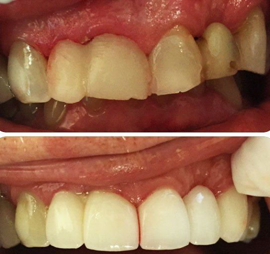
Medin Family Dental does all forms of cosmetic dentistry with the option of the less expensive acrylic veneers for anterior teeth versus porcelain. Dr. Medin has worked several years performing cosmetic dentistry with many happy patients.
Cosmetic Services
- Invisalign (clear braces)
- Porcelain veneers
- Porcelain crowns and bridges
- Tooth-colored bonding fillings
- Teeth whitening
Cosmetic Fillings
Here is our gallery of before and after shots of successful cosmetic dental fillings.












Share On: